| Henry Gray (18211865). Anatomy of the Human Body. 1918. |
VIII. The Lymphatic System |
| |
| |
| 1. Introduction |
| |
| THE LYMPHATIC SYSTEM consists (1) of complex capillary networks which collect the lymph in the various organs and tissues; (2) of an elaborate system of collecting vessels which conduct the lymph from the capillaries to the large veins of the neck at the junction of the internal jugular and subclavian veins, where the lymph is poured into the blood stream; and (3) lymph glands or nodes which are interspaced in the pathways of the collecting vessels filtering the lymph as it passes through them and contributing lymphocytes to it. The lymphatic capillaries and collecting vessels are lined throughout by a continuous layer of endothelial cells, forming thus a closed system. The lymphatic vessels of the small intestine receive the special designation of lacteals or chyliferous vessels; they differ in no respect from the lymphatic vessels generally excepting that during the process of digestion they contain a milk-white fluid, the chyle. | 1 |
 | FIG. 592 Scheme showing relative positions of primary lymph sacs based on the description given by Florence Sabin. (See enlarged image) | | |
| | | The Development of the Lymphatic Vessels.The lymphatic system begins as a series of sacs 108 at the points of junction of certain of the embryonic veins. These lymph-sacs are developed by the confluence of numerous venous capillaries, which at first lose their connections with the venous system, but subsequently, on the formation of the sacs, regain them. The lymphatic system is therefore developmentally an offshoot of the venous system, and the lining walls of its vessels are always endothelial. | 2 |
| In the human embryo the lymph sacs from which the lymphatic vessels are derived are six in number; two paired, the jugular and the posterior lymph-sacs; and two unpaired, the retroperitoneal and the cisterna chyli. In lower mammals an additional pair, subclavian, is present, but in the human embryo these are merely extensions of the jugular sacs. | 3 |
| The position of the sacs is as follows: (1) jugular sac, the first to appear, at the junction of the subclavian vein with the primitive jugular; (2) posterior sac, at the junction of the iliac vein with the cardinal; (3) retroperitoneal, in the root of the mesentery near the suprarenal glands; (4) cisterna chyli, opposite the third and fourth lumbar vertebræ (Fig. 592). From the lymph-sacs the lymphatic vessels bud out along fixed lines corresponding more or less closely to the course of the embryonic bloodvessels. Both in the body-wall and in the wall of the intestine, the deeper plexuses are the first to be developed; by continued growth of these the vessels in the superficial layers are gradually formed. The thoracic duct is probably formed from anastomosing outgrowths from the jugular sac and cisterna chyli. At its connection with the cisterna chyli it is at first double, but the two vessels soon join. | 4 |
| All the lymph-sacs except the cisterna chyli are, at a later stage, divided up by slender connective tissue bridges and transformed into groups of lymph glands. The lower portion of the cisterna chyli is similarly converted, but its upper portion remains as the adult cisterna. | 5 |
| | | Lymphatic Capillaries.The complex capillary plexuses which consist of a single layer of thin flat endothelial cells lie in the connective-tissue spaces in the various regions of the body to which they are distributed and are bathed by the intercellular tissue fluids. Two views are at present held as to the mode in which the lymph is formed: one being by the physical processes of filtration, diffusion, and osmosis, and the other, that in addition to these physical processes the endothelial cells have an active secretory function. The colorless liquid lymph has about the same composition as the blood plasma. It contains many lymphocytes and frequently red blood corpuscles. Granules and bacteria are also taken up by the lymph from the connective-tissue spaces, partly by the action of lymphocytes which pass into the lymph between the endothelial cells and partly by the direct passage of the granules through the endothelial cells. | 6 |
| The lymphatic capillary plexuses vary greatly in form; the anastomoses are usually numerous; blind ends or cul-de-sacs are especially common in the intestinal villi, the dermal papillæ and the filiform papillæ of the tongue. The plexuses are often in two layers: a superficial and a deep, the superficial being of smaller caliber than the deep. The caliber, however, varies greatly in a given plexus from a few micromillimeters to one millimeter. The capillaries are without valves. | 7 |
| | | Distribution.The Skin.Lymphatic capillaries are abundant in the dermis where they form superficial and deep plexuses, the former sending blind ends into the dermal papillæ. The plexuses are especially rich over the palmar surface of the hands and fingers and over the plantar surface of the feet and toes. The epidermis is without capillaries. The conjunctiva has an especially rich plexus. | 8 |
| The subcutaneous tissue is without capillaries. | 9 |
| The tendons of striated muscle and muscle sheaths are richly supplied. In muscle, however, their existence is still disputed. | 10 |
| The periosteum of bone is richly supplied and they have been described in the Haversian canals. They are absent in cartilage and probably in bone marrow. | 11 |
| The joint capsules are richly supplied with lymphatic capillaries, they do not, however, open into the joint cavities. | 12 |
| Beneath the mesothelium lining of the pleural, peritoneal and pericardial cavities are rich plexuses; they do not open into these cavities. | 13 |
| The alimentary canal is supplied with rich plexuses beneath the epithelium, often as a superficial plexus in the mucosa and a deeper submucosal plexus. Cul-de-sacs extend into the filiform papillæ of the tongue and the villi of the small intestine. Those portions of the alimentary canal covered by peritoneum, have in addition a subserous lymphatic capillary plexus beneath the mesothelium. | 14 |
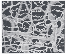
 | FIG. 593 Lymph capillaries of the human conjunctiva: a, conjunctiva corneæ; b, conjunctiva scleroticæ. X 40 dia. (Teichmann.) (See enlarged image) | | |
 | FIG. 594 Lymph capillaries from the human scrotum, showing also transition from capillaries to the collecting vessels a, a. X 20 dia. (Teichmann.) (See enlarged image) | | |
| The salivary glands are supplied with lymphatic capillaries. | 15 |
| The liver has a rich subserous plexus in the capsule and also extensive plexuses which accompany the hepatic artery and portal vein. The lymphatic capillaries have not been followed into the liver lobules. The lymph from the liver forms a large part of that which flows through the thoracic duct. The gall-bladder and bile ducts have rich subepithelial plexuses and the former a subserous plexus. | 16 |
| The spleen has a rich subserous set and a capsular set of lymphatic capillaries. Their presence in the parenchyma is uncertain. | 17 |
 | FIG. 595 Lymph capillaries of the cutis from the inner border of the sole of the human foot. a, a, outer layer; b, b, inner layer. X 30 dia. (Teichmann.) (See enlarged image) | | |
| The nasal cavity has extensive capillary plexuses in the mucosa and submucosa. | 18 |
| The trachea and bronchi have plexuses in the mucosa and submucosa but the smaller bronchi have only a single layer. The capillaries do not extend to the air-cells. The plexuses around the smaller bronchi connect with the rich subserous plexus of the lungs in places where the veins reach the surface. | 19 |
 | FIG. 596 Vertical section through human tongue; a, a, blind lymph capillaries in the filiform papillæ with the underlying lymphatic plexus. X 45. (Teichmann.) (See enlarged image) | | |
| Lymphatics have been described in the thyroid gland and in the thymus. | 20 |
| The adrenal has a superficial plexus divided into two layers, one in the loose tissue about the gland and the other beneath the capsule. Capillaries have also been described within the parenchyma. | 21 |
| The kidney is supplied with a coarse subserous plexus and a deeper plexus of finer capillaries in the capsule. Lymphatics have been described within the substance of the kidney surrounding the tubules. | 22 |
| The urinary bladder has a rich plexus of lymphatic capillaries just beneath the epithelial lining, also a subserous set which anastomoses with the former through the muscle layer. The submucous plexus is continuous with the submucous plexus of the urethra. | 23 |
| The prostate has a rich lymphatic plexus surrounding the gland and a wide-meshed subcapsular plexus. | 24 |
| The testis has a rich superficial plexus beneath the tunica albuginea. The presence of deep lymphatics is disputed. | 25 |
| The uterus is provided with a subserous plexus, the deeper lymphatics are uncertain. Subepithelial plexuses are found in the vagina. | 26 |
| The ovary has a rich superficial plexus and a deep interstitial plexus. | 27 |
| The heart has a rich subserous plexus beneath the epicardium. Lymphatic capillaries have also been described beneath the endocardium and throughout the muscle. | 28 |
| Lymphatic capillaries are probably absent in the central nervous system, the meninges, the eyeball (except the conjunctiva), the orbit, the internal ear, within striated muscle, the liver lobule, the spleen pulp and kidney parenchyma. They are entirely absent in cartilage. In many places further investigation is needed. | 29 |
| | | Lymphatic Vessels.The lymphatic vessels are exceedingly delicate, and their coats are so transparent that the fluid they contain is readily seen through them. They are interrupted at intervals by constrictions, which give them a knotted or beaded appearance; these constrictions correspond to the situations of valves in their interior. Lymphatic vessels have been found in nearly every texture and organ of the body which contains bloodvessels. Such non-vascular structures as cartilage, the nails, cuticle, and hair have none, but with these exceptions it is probable that eventually all parts will be found to be permeated by these vessels. | 30 |
| | | Structure of Lymphatic Vessels.The larger lymphatic vessels are each composed of three coats. The internal coat is thin, transparent, slightly elastic, and consists of a layer of elongated endothelial cells with wavy margins by which the contiguous cells are dovetailed into one another; the cells are supported on an elastic membrane. The middle coat is composed of smooth muscular and fine elastic fibers, disposed in a transverse direction. The external coat consists of connective tissue, intermixed with smooth muscular fibers longitudinally or obliquely disposed; it forms a protective covering to the other coats, and serves to connect the vessel with the neighboring structures. In the smaller vessels there are no muscular or elastic fibers, and the wall consists only of a connective-tissue coat, lined by endothelium. The thoracic duct has a more complex structure than the other lymphatic vessels; it presents a distinct subendothelial layer of branched corpuscles, similar to that found in the arteries; in the middle coat there is, in addition to the muscular and elastic fibers, a layer of connective tissue with its fibers arranged longitudinally. The lymphatic vessels are supplied by nutrient vessels, which are distributed to their outer and middle coats; and here also have been traced many non-medullated nerves in the form of a fine plexus of fibrils. | 31 |
| The valves of the lymphatic vessels are formed of thin layers of fibrous tissue covered on both surfaces by endothelium which presents the same arrangement as on the valves of veins (p. 501). In form the valves are semilunar; they are attached by their convex edges to the wall of the vessel, the concave edges being free and directed along the course of the contained current. Usually two such valves, of equal size, are found opposite one another; but occasionally exceptions occur, especially at or near the anastomoses of lymphatic vessels. Thus, one valve may be of small size and the other increased in proportion. | 32 |
| In the lymphatic vessels the valves are placed at much shorter intervals than in the veins. They are most numerous near the lymph glands, and are found more frequently in the lymphatic vessels of the neck and upper extremity than in those of the lower extremity. The wall of the lymphatic vessel immediately above the point of attachment of each segment of a valve is expanded into a pouch or sinus which gives to these vessels, when distended, the knotted or beaded appearance already referred to. Valves are wanting in the vessels composing the plexiform net-work in which the lymphatic vessels usually originate on the surface of the body. | 33 |
| | | Lymph Glands (lymphoglandulæ).The lymph glands are small oval or bean-shaped bodies, situated in the course of lymphatic and lacteal vessels so that the lymph and chyle pass through them on their way to the blood. Each generally presents on one side a slight depressionthe hilusthrough which the bloodvessels enter and leave the interior. The efferent lymphatic vessel also emerges from the gland at this spot, while the afferent vessels enter the organ at different parts of the periphery. On section (Fig. 597) a lymph gland displays two different structures: an external, of lighter colorthe cortical; and an internal, darkerthe medullary. The cortical structure does not form a complete investment, but is deficient at the hilus, where the medullary portion reaches the surface of the gland; so that the efferent vessel is derived directly from the medullary structures, while the afferent vessels empty themselves into the cortical substance. | 34 |
 | FIG. 597 Section of small lymph gland of rabbit. X 100. (See enlarged image) | | |
| | | Structure of Lymph Glands.A lymph gland consists of (1) a fibrous envelope, or capsule, from which a frame-work of processes (trabeculæ) proceeds inward, imperfectly dividing the gland into open spaces freely communicating with each other; (2) a quantity of lymphoid tissue occupying these spaces without completely filling them; (3) a free supply of bloodvessels, which are supported in the trabeculæ; and (4) the afferent and efferent vessels communicating through the lymph paths in the substance of the gland. The nerves passing into the hilus are few in number and are chiefly distributed to the bloodvessels supplying the gland. | 35 |
| The capsule is composed of connective tissue with some plain muscle fibers, and from its internal surface are given off a number of membranous processes or trabeculæ, consisting, in man, of connective tissue, with a small admixture of plain muscle fibers; but in many of the lower animals composed almost entirely of involuntary muscle. They pass inward, radiating toward the center of the gland, for a certain distancethat is to say, for about one-third or one-fourth of the space between the circumference and the center of the gland. In some animals they are sufficiently well-marked to divide the peripheral or cortical portion of the gland into a number of compartments (so-called follicles), but in man this arrangement is not obvious. The larger trabeculæ springing from the capsule break up into finer bands, and these interlace to form a mesh-work in the central or medullary portion of the gland. In these spaces formed by the interlacing trabeculæ is contained the proper gland substance or lymphoid tissue. The gland pulp does not, however, completely fill the spaces, but leaves, between its outer margin and the enclosing trabeculæ, a channel or space of uniform width throughout. This is termed the lymph path or lymph sinus (Fig. 597). Running across it are a number of finer trabeculæ of retiform connective tissue, the fibers of which are, for the most part, covered by ramifying cells. | 36 |
| On account of the peculiar arrangement of the frame-work of the organ, the gland pulp in the cortical portion is disposed in the form of nodules, and in the medullary part in the form of rounded cords. It consists of ordinary lymphoid tissue (Fig. 598), being made up of a delicate net-work of retiform tissue, which is continuous with that in the lymph paths, but marked off from it by a closer reticulation; it is probable, moreover, that the reticular tissue of the gland pulp and the lymph paths is continuous with that of the trabeculæ, and ultimately with that of the capsule of the gland. In its meshes, in the nodules and cords of lymphoid tissue, are closely packed lymph corpuscles. The gland pulp is traversed by a dense plexus of capillary bloodvessels. The nodules or follicles in the cortical portion of the gland frequently show, in their centers, areas where karyokinetic figures indicate a division of the lymph corpuscles. These areas are termed germ centers. The cells composing them have more abundant protoplasm than the peripheral cells. | 37 |
| The afferent vessels, as stated above, enter at all parts of the periphery of the gland, and after branching and forming a dense plexus in the substance of the capsule, open into the lymph sinuses of the cortical part. In doing this they lose all their coats except their endothelial lining, which is continuous with a layer of similar cells lining the lymph paths. In like manner the efferent vessel commences from the lymph sinuses of the medullary portion. The stream of lymph carried to the gland by the afferent vessels thus passes through the plexus in the capsule to the lymph paths of the cortical portion, where it is exposed to the action of the gland pulp; flowing through these it enters the paths or sinuses of the medullary portion, and finally emerges from the hilus by means of the efferent vessel. The stream of lymph in its passage through the lymph sinuses is much retarded by the presence of the reticulum, hence morphological elements, either normal or morbid, are easily arrested and deposited in the sinuses. Many lymph corpuscles pass with the efferent lymph stream to join the general blood stream. The arteries of the gland enter at the hilus, and either go at once to the gland pulp, to break up into a capillary plexus, or else run along the trabeculæ, partly to supply them and partly running across the lymph paths, to assist in forming the capillary plexus of the gland pulp. This plexus traverses the lymphoid tissue, but does not enter into the lymph sinuses. From it the veins commence and emerge from the organ at the same place as that at which the arteries enter. | 38 |
 | FIG. 598 Lymph gland tissue. Highly magnified. a, Trabeculæ. b. Small artery in substance of same. c. Lymph paths. d. Lymph corpuscles. e. Capillary plexus. (See enlarged image) | | |
| The lymphatic vessels are arranged into a superficial and a deep set. On the surface of the body the superficial lymphatic vessels are placed immediately beneath the integument, accompanying the superficial veins; they join the deep lymphatic vessels in certain situations by perforating the deep fascia. In the interior of the body they lie in the submucous areolar tissue, throughout the whole length of the digestive, respiratory, and genito-urinary tracts; and in the subserous tissue of the thoracic and abdominal walls. Plexiform networks of minute lymphatic vessels are found interspersed among the proper elements and bloodvessels of the several tissues; the vessels composing the net-work, as well as the meshes between them, are much larger than those of the capillary plexus. From these net-works small vessels emerge, which pass, either to a neighboring gland, or to join some larger lymphatic trunk. The deep lymphatic vessels, fewer in number, but larger than the superficial, accompany the deep bloodvessels. Their mode of origin is probably similar to that of the superficial vessels. The lymphatic vessels of any part or organ exceed the veins in number, but in size they are much smaller. Their anastomoses also, especially those of the large trunks, are more frequent, and are effected by vessels equal in diameter to those which they connect, the continuous trunks retaining the same diameter. | 39 |
| Hemolymph nodes or glands and hemal nodes which are so abundant in some mammals are probably not present in man. | 40 |
| | | Lymph.Lymph, found only in the closed lymphatic vessels, is a transparent, colorless, or slightly yellow, watery fluid of specific gravity about 1.015; it closely resembles the blood plasma, but is more dilute. When it is examined under the microscope, leucocytes of the lymphocyte class are found floating in the transparent fluid; they are always increased in number after the passage of the lymph through lymphoid tissue, as in lymph glands. Lymph should be distinguished from tissue fluid 109 which is found outside the lymphatic vessels in the tissue spaces. | 41 |
| Note 108. Sabin, Am. Jour. Anat., 1909, vol. ix; Johns Hopkins Hospital Reports, 1913. [back] |
| Note 109. Sabin, Harvey Lecture, Series ix, New York, 191516. [back] |
|
|