| Skip navigation | ||
![]() |
![]() | ![]() |
|
|
||
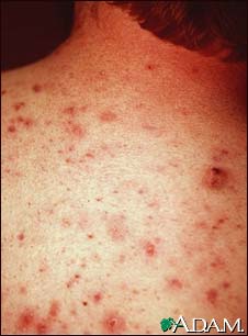
Acne, vulgaris on the back

Acne frequently occurs on the back. Here, there are 2 to 6 millimeter wide erythematous (red) pustules with large open and closed comedones. Permanent scarring may follow a severe case of acne. Men are more often affected on their shoulders and back than are women.
Update Date: 12/18/2006 Updated by: Daniel Rauch, MD, FAAP, Director, Pediatric Hospitalist Program, Associate Professor of Pediatrics, NYU School of Medicine, New York, NY. Review provided by VeriMed Healthcare Network.

| Home | Health Topics | Drugs & Supplements | Encyclopedia | Dictionary | News | Directories | Other Resources | |
| Copyright | Privacy | Accessibility | Quality Guidelines U.S. National Library of Medicine, 8600 Rockville Pike, Bethesda, MD 20894 National Institutes of Health | Department of Health & Human Services |
Page last updated: 02 January 2008 |