| Skip navigation | ||
![]() |
![]() | ![]() |
|
|
||
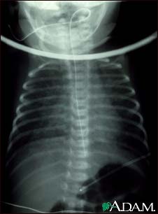
Totally anomalous pulmonary venous return, X-ray

Totally anomalous pulmonary venous return (TAPVR) is a form of congenital heart disease. This x-ray shows an enlarged heart, a large liver, and increased size of the lung blood vessels (pulmonary vascularity).
Update Date: 5/2/2006 Updated by: Benjamin Taragin, M.D., Department of Radiology, Columbia Presbyterian Medical Center, New York, NY. Review Provided by VeriMed Healthcare Network.

| Home | Health Topics | Drugs & Supplements | Encyclopedia | Dictionary | News | Directories | Other Resources | |
| Copyright | Privacy | Accessibility | Quality Guidelines U.S. National Library of Medicine, 8600 Rockville Pike, Bethesda, MD 20894 National Institutes of Health | Department of Health & Human Services |
Page last updated: 02 January 2008 |