| Skip navigation | ||
![]() |
![]() | ![]() |
|
|
||
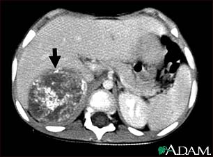
Neuroblastoma in the liver - CT scan

This CT scan of the upper abdomen shows a large tumor (neuroblastoma) on the person's right side (lower left side of picture). The tumor is behind the liver and is pushing the liver forward and may have possibly spread into the liver tissue.
Update Date: 5/1/2006 Updated by: Samuel Blackman, M.D., Department of Pediatrics, Cincinnati Children's Hospital Medical Center, Cincinnati, OH. Review provided by VeriMed Healthcare Network.

| Home | Health Topics | Drugs & Supplements | Encyclopedia | Dictionary | News | Directories | Other Resources | |
| Copyright | Privacy | Accessibility | Quality Guidelines U.S. National Library of Medicine, 8600 Rockville Pike, Bethesda, MD 20894 National Institutes of Health | Department of Health & Human Services |
Page last updated: 02 January 2008 |