Reference > Anatomy of the Human Body > Fig. 976
  PREVIOUS NEXT  
CONTENTS · BIBLIOGRAPHIC RECORD · ILLUSTRATIONS · SUBJECT INDEX
Henry Gray (1825–1861).  Anatomy of the Human Body.  1918.

FIG. 976




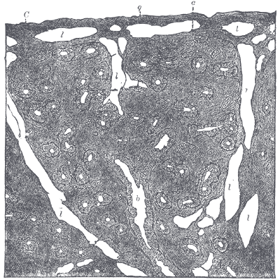
Section of lung of pig embryo, 13 cm. long, showing the glandular character of the developing alveoli (J. M. Flint.) X 70. a. Interstitial connective tissue. b. A bronchial tube. c. An Alveolus. l. lymphatic clefts. q. Pleura.

CONTENTS · BIBLIOGRAPHIC RECORD · ILLUSTRATIONS · SUBJECT INDEX

  PREVIOUS NEXT  
 
Click here to download the Dictionary and Thesaurus.
 
Search Amazon:  
Click here to shop the Bartleby Bookstore.
Welcome · Press · Advertising · Linking · Terms of Use · © 2004 Bartleby.com